
Rimedi per
La fluorosi è una condizione patologica dovuta a un’assunzione protratta ed eccessiva di fluoro, un elemento presente in quantità limitate nell’organismo umano.
La concentrazione maggiore di fluoro si trova nei denti e nelle ossa, dove risulta fondamentale sia per la mineralizzazione dello scheletro che per lo smalto dei denti. Questo viene assunto tramite l’alimentazione, in particolare con il pesce, i cereali e l'acqua potabile.Â
Quando il dosaggio di questo elemento diventa eccessivo, compare la condizione nota come fluorosi, caratterizzata da macchie bianche sullo smalto dei denti e da un’eccessiva densità ossea che rende lo scheletro rigido.
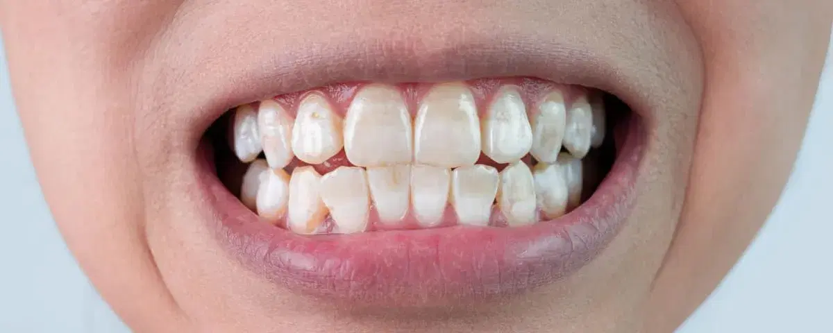
Le alterazioni indotte dall’eccesso di fluoro sono rappresentate, agli esordi, da chiazze bianche sulla superficie dello smalto dentale. Queste sono distribuite in maniera irregolare e assumono un aspetto opaco trasformandosi, con il passare del tempo, in macchie color giallo-marrone.Â
La fluorosi scheletrica, invece, porta a un accumulo di questo elemento nelle ossa. Se da una parte questo “deposito” osseo aumenta la densitĂ dello scheletro, il rovescio della medaglia sta nel fatto che le ossa stesse diventano molto piĂą rigide e soggette a fratture.Â
Tra i sintomi della fluorosi troviamo:
- Macchie sui dentiÂ
- Piccoli solchi sullo smaltoÂ
- Aumento della densitĂ ossea
- Alterazioni dello scheletroÂ
- Ginocchio valgoÂ
Inoltre, tra gli effetti collaterali della fluorosi cronica si possono annoverare casi di alterazione mentale, carenze enzimatiche e disordini endocrini.
Le cause della fluorosi possono sintetizzarsi in una cronica ed eccessiva assunzione di fluoro.Â
Questo elemento è molto importante per la buona salute sia dello scheletro che delle ossa, ed è ideale per la prevenzione delle carie ai denti e delle fratture ossee, specialmente quelle che derivano da osteoporosi.Â
La dose ottimale di fluoro è di circa 1 mg al giorno, che può essere assunto tramite una dieta variegata. Quando questa quantitĂ supera i 2 mg al giorno per lungo tempo, però, iniziano a comparire i primi segni di accumulo di fluoro nel corpo, con screziature dello smalto dentale e macchie sui denti. Questa dose è riferita a un organismo adulto, mentre, la fluorosi dei denti da latte può manifestarsi nei bambini in seguito ad un’esposizione molto inferiore ad 1 mg.Â
In linea generale, questo accumulo dipende da un consumo eccessivo di alimenti che contengono fluoro, come pesce e cereali, anche se, la maggior parte dei casi di fluorosi dipende dall’ingestione di acque potabili e integratori di fluoro.Â
Inoltre, una raccomandazione molto importante per i bambini è quella di non ingerire i dentifrici fluorurati (dentifrici da adulti), che vengono impiegati per rinforzare lo smalto permanente.
Il trattamento per la fluorosi più ovvio è quello di ridurre immediatamente l’esposizione alle sostanze che causano questo disturbo.
Quindi, è bene non utilizzare integratori al fluoro se si conserva l’abitudine di bere acque potabili ad alto contenuto di questo elemento e ridurre il suo apporto attraverso una dieta mirata.
I rimedi per la fluorosi dentale consistono anche nello sbiancamento dei denti professionale o da effettuare quotidianamente a casa: ottimo, ad esempio il dentifricio sbiancante Biorepair e il collutorio sbiancante Curasept che può, nel lungo periodo, portare a una risoluzione dei sintomi.Â
Infine, per i bambini, è bene utilizzare prodotti per l’igiene orale privi di fluoro, come il dentrificio Junior Biorepair, perfetto da usare tra i 7 e i 14 anni.Â